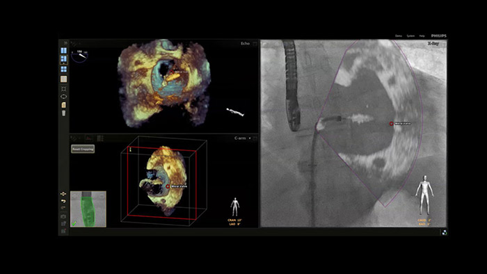
No atual ambiente de cardiologia, há pressão para implementar soluções de imagiologia inovadoras, sem comprometer a eficiência do fluxo de trabalho, o diagnóstico e tratamento, ou os cuidados de saúde ao paciente. Os ecógrafos cardiovasculares da Philips disponibilizam uma funcionalidade e um desempenho excelentes que o ajudam a melhorar a qualidade dos cuidados de saúde e dos fluxos de trabalho no departamento de cardiologia, permitindo-lhe fornecer excelentes cuidados de saúde a todos os pacientes.
O Philips EPIQ CVX* é uma solução de ecógrafo específica para cardiologia que apresenta avanços significativos em termos de funcionalidade.
O Philips EPIQ CVX – com a sua mais recente versão 5.0 – é uma solução de ultrassons dedicada e de elevado desempenho que combina a experiência em cardiologia da Philips com a experiência comprovada em quantificação da TOMTEC. Ajuda-o a expandir as suas capacidades, permitindo-lhe elevar o seu fluxo de trabalho cardiovascular e melhorar a qualidade do cuidado que oferece.
TrueVue
Para uma melhor visualização da anatomia cardíaca nas ecografias transtorácicas e transesofágicas, o TrueVue de cardiologia da Philips com a sua fonte de luz virtual torna mais simples visualizar a localização de defeitos e compreender a profundidade nas estruturas.
Dynamic HeartModelA.I.**
O Philips HeartModelA.I. é uma ferramenta 3D que proporciona uma fração de ejeção (EF) robusta e reprodutível em segundos como parte de um fluxo de trabalho de rotina. O Dynamic HeartModelA.I. apresenta contornos em movimento para volumes do ventrículo esquerdo (VE) e da aurícula esquerda (AE).
AutoStrain
O AutoStrain da TOMTEC oferece uma solução de tensão simples, apenas com um botão, impulsionada pelo Auto View Recognition e Auto Contour Placement, treinada com mais de 6000 imagens para garantir a robustez. O AutoStrain fornece medições rápidas e reprodutíveis da tensão longitudinal global do ventrículo esquerdo (GLS) para utilização clínica diária.
A função cardíaca pode ser avaliada de várias formas, utilizando várias modalidades de imagiologia. A ecografia proporciona capacidades económicas e robustas para avaliar estruturas do coração em movimentação rápida sem exposição a radiação ionizante.
O Philips HeartModelA.I. é uma ferramenta 3D que permite tempos de exame rápidos, fluxo de trabalho contínuo e ampla aplicabilidade. Deteta, segmenta e quantifica automaticamente o ventrículo esquerdo (VE) e a aurícula esquerda (AE) a partir de imagens 3D em tempo real.









* O EPIQ CVX/CVxi está disponível em países selecionados. Consulte o seu representante da Philips para obter mais informações. **Inteligência anatómica
You are about to visit a Philips global content page
Continue